Radiologists CT Specialists Acute CT Body Imaging Radiology Seminars
Join Our Exclusive Live Webinar on April 26, 2025, at 9:00 AM BST – 7 Hours of Expert Training!
1-Month On-Demand Access | 6 CPD Hours | Case-Based Learning
Hurry! Limited spots left. Learn from top radiology experts and develop the skills to interpret CT scans with confidence.
Improvement in CT Interpretation Confidence
Faster Diagnosis of Acute Conditions
Get 10% Off – First 50 Enrollments Only!
"Very well structured, lovely speakers answered everything nicely. Comprehensive, concise and enabled participants with new skills . I really enjoyed the case studies. I felt that these were the most useful. The topics and cases were appropriate and matching the everyday encounters for radiographers. I liked the approach and the variety of abnormalities we went through."
Live Webinar Date: April 26, 2025 | ⏰ Time: 9:00 AM BST | 🕒 Duration: 7 Hours
"A radiographer can know everything about their scanner and protocols, but a radiographer will never feel confident until they know to interpret images. Your work helps radiographers being able to communicate better with radiologists, which result in better use of resources. Please, continue."
10% Off - Get Certified & Enhance Your Professional Credibility!
"Very Fantastic course. My first experience of radiology seminars, was initially sceptical about the cost but now I am happy. I went ahead and see it as money well spent and would ensure to partake in as many I possibly can. And very weldone to the moderator and lecturers."
Experience our workshop risk-free. Not satisfied?
Experience our Acute CT Body for Radiographers Webinar risk-free. If you're not satisfied with the training, let us know—we’ll issue a full refund.
This Webinar is designed for radiographers, radiologists, and healthcare professionals looking to enhance their CT body imaging interpretation skills. Whether you're a beginner or an experienced practitioner, you'll find valuable insights.
You will have 1 month of on-demand access, allowing you to learn at your own pace and revisit key concepts anytime.
Yes! Upon successful completion, you’ll receive a CPD Certificate with 6 RCR CPD credits, recognized for professional development.
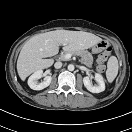
This Webinar is case-based and practical, focusing on real-world CT scans, scrollable DICOM cases, and expert-led training to improve your diagnostic accuracy and confidence.
The Webinar covers acute CT interpretation, including:
Yes! We offer a 100% satisfaction guarantee. If you're not satisfied with the course, let us know, and we’ll issue a full refund.
Click the "Enroll Now" button and apply the discount automatically at checkout. But hurry—this offer is available for the first 50 enrollments only!
100% Money-back guarantee, No Risk Involved.
"Clear guidelines to use, golden rules without too much technicality, and then focusing on applying this to cases. Having the cases to then be able to do this ourselves in our own time is very useful. Clear communication and very informative. Good that it is on demand and I can complete at my own pace."








